Thème " Génétique : diversité et stabilité au sein du vivant "
6. Le caryotype :
( trace écrite 7) Définition :

Le
caryotype est l'ensemble des chromosomes présents dans le noyau d'une cellule.

Le nombre de chromosomes est constant chez une espèce, sauf anomalie (
46 CR chez les humains).
(trace écrite 8)

      Chaque cellule d'un être vivant contient le même nombre de chromosomes (avec une exception cependant).

Ce nombre est
pair, car chaque chromosome possède un double, un homologue.

On peut ranger et classer les chromosomes par paires, de la plus grande à la plus petite. Chez les humains, la 23ème paire est composée :

- soit de 2 chromosomes identiques, appelés
X et X chez les femmes ;

- soit d'un grand chromosome
X et d'un petit Y chez les hommes.

La
23ème paire est donc la paire de chromosomes sexuels.
  (trace écrite 9)

         Parfois, une
anomalie est présente sur le caryotype , et cela aura des conséquences sur la personne :
- excès de chromosomes : c'est le cas de la trisomie, où il y a 3 CR sur une paire (21, 18, 13, 23 … ).
- manque de chromosomes : la monosomie, où il n'y a qu'un seul CR sur une paire (ex : le syndrome de Turner avec un seul CR X).
- une délétion : il manque un morceau sur un CR d'une paire.
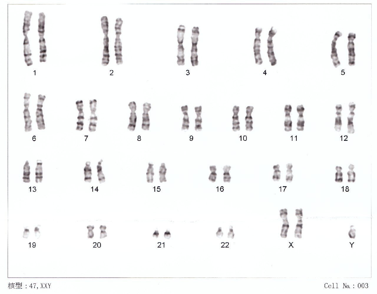
Cas d'une trisomie sur la paire sexuelle : le syndrome de Klinefelter (47CR, dont 2CR X et 1 Y)
Trisomie 21 (47CR dont 3CR 21)
Trisomie 18 (47CR dont 3CR 18)
45 CR, un seul X
Conclusion (trace écrite 10)

      Tout excès ou tout manque d'un CR ou d'une partie d'un CR entraîne des malformations et des anomalies plus ou moins graves chez l'individu atteint.
L'amniocentèse : comment détecter une anomalie des chromosomes, donc du caryotype, chez un foetus avant la naissance.
Vidéo pour comprendre comment fabriquer un caryotype rangé